一根烤肠竹签的意外刺入,竟差点将幼童推入生死边缘。近日,聊城市第三人民医院儿科团队经历了一场与死神赛跑的抢救——当3岁幼童妮妮(化名)因竹签刺伤口腔后突发高热直至昏迷,医生从口腔黏膜伤口追踪到凶险的颅内感染链,以“精准治疗+多学科联动”的救治方案,成功挽救了孩子的生命。
5月17日晚,妮妮(化名)突发高热、昏迷,来到聊城市第三人民医院急诊。值班的曲英慧医生细问之下才知道,原来妮妮在31小时前玩耍时不慎摔倒,手中的烤肠竹签从上唇内侧直插口腔深处!家长当即拔出竹签,并到当地诊所做了消毒,并口服抗生素处理。谁料孩子在3小时后出现39.1℃高烧,更在28小时后出现昏迷!
急诊检查触目惊心:
⚠️ 持续意识障碍,心率减慢;
⚠️ 颈项强直(脑膜刺激征);
⚠️ 右侧病理性跖反射阳性;
⚠️血常规:白细胞计数11.63×109/L,中性粒细胞%:93%;CRP:99.56mg/L;
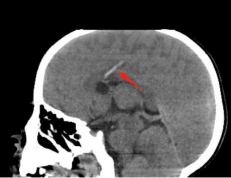
⚠️颅脑:CT:右侧脑室积气+脑实质出血;
⚠️CT片子上清晰看到:竹签自口腔,贯穿筛骨上壁,进入大脑额叶!
陈丽芳主任现场指挥抢救,儿科团队清创、靶向抗菌、降颅压,抢救有条不紊进行……
腰穿一针定乾坤
急救处理第2天,患童复查颅脑CT,确定颅内出血没有增多的情况下,团队继续完善脑脊液检查。在田巧焕大夫的精准操作下,一针刺入,浑浊的脑脊液流出。
脑脊液化验结果 :肺炎链球菌,白细胞超正常值900倍,确诊创伤性化脓性脑膜脑炎——竹签携带的细菌引起严重的颅内感染!
多学科闪电会诊
儿科+神经外科+临床药学,联合决策,患儿病情危重,颅内感染严重,必须尽快控制感染,使用特殊抗生素,重拳出击!
▶️ 48小时:体温回落,患童神志转清,略有烦躁;
▶️ 第3天:患童神志清醒,偶有哭闹,脑脊液细胞数明显下降,蛋白下降,糖回复正常;
▶️第5天 :患童体温正常,精神如常,脑脊液细胞数继续下降,糖、蛋白恢复正常。脑脊液细菌培养阴性;
▶️ 第21天:颅内感染完全治愈,孩子精神、语言、运动、智力如常,康复出院!
温馨提示:
「儿童异物伤需警惕“深部感染陷阱”」
✔ 尖锐异物(竹签、鱼刺等)刺入黏膜后,即使表面无明显伤口,也需就医排查深部组织损伤;
✔ 出现高热、头痛、精神萎靡等症状,需立即警惕感染扩散可能;
✔ 儿童饮食时避免跑动、嬉笑,选择“去签化”“去骨化”食物。
这场与细菌“赛跑”的救治,不仅展现了多学科协作的医疗实力,更为家长敲响警钟:在儿童意外伤害中,看似微小的伤口背后,可能隐藏着致命的感染链条,及时规范的医学干预,是守护孩子安全的关键防线。
聊城市第三人民医院儿科全体医护人员24小时随时待命,用心呵护儿童健康!!!
门诊电话:0635—8384245
病房电话:0635—8380790
编辑 | 柴士增
供稿 |市三院儿科张晓兰
以上内容为用户自行编辑发布,如遇到版权等法律问题,请第一时间联系官方客服,平台会第一时间配合处理,客服电话:18749415159(微信)、QQ:757700863。